Revisión de un Tema
La Picadura Ocular de Abejas o Avispas
Dr. Carmen Barraquer Coll
Descargue el articulo en formato pdf aqui
La picadura de abeja o de avispa en el globo ocular es un accidente muy poco frecuente, pero puede producir reacciones inmuno-alérgicas y efectos tóxicos en los tejidos oculares muy severos que dejan secuelas de diferente magnitud, pudiendo llevar a la pérdida de la visión.
Introducción
Los himenópteros son un grupo de insectos artrópodos; dentro de los existentes, son de nuestro interés en esta revisión, las familias Apidae (abejas) y Vespidae (avispas).
La función de la abeja es polinizar los cultivos, es decir, transportar el polen que favorece el proceso de fertilización para la formación de diferentes tipos de frutos y semillas. En pocas palabras, tienen una función vital para la vida en nuestro planeta. Su cuerpo es peludo, compacto, de múltiples colores, pero en general son doradas con lineas amarillas en el abdomen
En cuanto a la avispa, es controladora biológica de plagas, es una depredadora por naturaleza. Ésta suele atacar a otros insectos ya sea para comérselos o para depositar sus huevos en ellos. Su cuerpo se diferencia de las abejas por su abdomen inferior puntiagudo y cintura estrecha, que se denomina “pecíolo” y separa el abdomen del tórax
Respecto a las abejas, se conoce que solo las hembras tienen aguijón y lo emplean como defensa cuando se sienten atacadas; su aguijón es aserrado y cuando pican, se rompe el abdomen del insecto el cual muere en minutos después de la picadura. Las avispas por su parte, pueden picar varias veces y esto se debe a que su aguijón es liso en casi todas sus especies.
La abeja llamada “ Africana” se re ere a las abejas “africanizadas” que son híbridos procedentes del cruzamiento de la subespecie natural africana, Apis mellifera scutellata con abejas domésticas pertenecientes a varias subespecies. La particularidad de estos híbridos es su acentuado comportamiento defensivo, describiéndose como muy agresivos ante molestias. Atacan en cantidad, muy velozmente y siguen a su víctima hasta a 400 metros de su colmena o enjambre.
Las abejas colombianas se africanizaron debido a los cruces naturales ocurridos entre ellas, a partir de la expansión ocurrida desde 1956, cuando para lograr incrementar la cosecha de miel, fueron introducidas en Brasil. En un estudio a partir de técnicas de ADN, el médico veterinario y magíster en microbiología Víctor Manuel Tibatá1, estableció que un 99 % de los apiarios colombianos muestreados, eran compatibles con el linaje de abejas africanas.
El veneno que inyectan las abejas y las avispas (Tabla No1) siendo semejante, puede diferir en la proporción de sus componentes y en el volumen inyectado, pudiendo esto explicar en algunos casos la toxicidad y magnitud de la respuesta inmuno-alérgica en el individuo afectado; sin embargo el tiempo transcurrido entre la picadura y el inicio terapéutico, la localización de la picadura en el globo ocular y el grado de penetración del aguijón, también son factores determinantes en el pronóstico visual.
Cuadro Clínico
La picadura produce inmediatamente un intenso dolor, quemosis conjuntival, y lagrimeo; cuando la lesión es en la córnea, siendo la localización más frecuente3.5.10-11 produce además edema corneal, fotofobia, y disminución de la visión.
El veneno de las abejas o de las avispas en la córnea puede producir descompensación corneal, uveítis anterior, irítis tóxica severa, opacidad subcapsular anterior y/o catarata e hipertensión ocular en los casos más severos.3,4,5.6 En los casos de picadura conjuntivo-escleral, está descrito el compromiso del segmento posterior con desprendimientos ciliocoroideos y de retina12, neuritis óptica15,16. y endoftalmía14
Fisiopatología de la picadura de abeja o de Avispas.
Es conocido que los venenos de los himenopteros contienen aminas biológicas (Histamina) causante del dolor, Toxinas poliptídicas no enzimáticas (Melitina-Apamina) y enzimas difusoras (Hialuronidasa y Fosfolipasas)2; es aceptado que de las toxinas no enzimáticas que componen el veneno, es la Melitina la causante principal del daño a los tejidos oculares; actúa como detergente, rompiendo la permeabilidad de la membrana celular, desencadenando una cascada de eventos que sumados a la acción de los otros componentes en el veneno como la acción neurotóxica de la Apamina, induce el edema corneal, la midriasis, la uveitis anterior, la iritis tóxica, la opacidad del cristalino y la descompensación nal de la córnea si no se detiene a tiempo, la acción tóxica sobre los tejidos oculares
En algunos de los artículos publicados relacionan las lesiones de baja magnitud con picadura de abeja4-5.
Evolución Clínica
Sin referirnos a la reacción inmuno-alérgica individual muy severa que puede ocurrir, el aguijón produce una herida en el globo ocular que puede ser perforante, además inyecta el veneno y dependiente del volumen inyectado, serán los efectos tóxicos sobre los tejidos oculares.
Cuando la consulta es inmediata, la picadura corneal se expresa como un cuadro agudo con una zona de desepitelización, con edema e in ltración estromal circundante en el punto de ingreso del aguijón y reacción in amatoria en la cámara anterior; si el aguijón está “in situ” debe extraerse lo antes posible si es de fácil acceso, si no es posible, iniciar medicación antiin amatoria en dosis elevadas y antibióticos, para contrarrestar los efectos tóxicos, infecciosos y la respuesta inmunológica.
En la literatura existen casos reportados de aguijones que no pudieron ser extraídos, con buena resolución del cuadro y buena agudeza visual; no hay explicación de nitiva para este comportamiento, pero comprueba que una vez el material tóxico del aguijón se inactiva, se vuelve inerte y puede quedar retenido en la córnea o en la cámara anterior sin causar alteraciones11 (caso No23). También a rma Gilboa11 sobre la resolución a largo plazo del edema corneal con recuperación de la agudeza visual en casos de picaduras, lo que podría corresponder a 2 casos de nuestra serie, 1 de 1 año ( No12), y otro de 15 años de evolución (No21), con un leucoma, aguijón retenido y desnaturalizado, sin despigmentación del Iris y con visión de 1.00 sin corrección; aunque en ellos no conocemos cual fué la reacción inicial.
Cuando la consulta es tardía, el especialista se enfrenta a un cuadro clínico de in amación crónica del segmento anterior con descompensación corneal, posible hipertensión ocular, Iritis tóxica y eventualmente catarata.- Aun con el mejor tratamiento, el tiempo de resolución es lento y puede tomar varios meses. El caso No19 que presentamos con angiografía del Iris, muestra la lentitud de la resolución del proceso.
Revisando la literatura, llama la atención lo que universalmente denominan “atro a del Iris”3.5.10-11, re riéndose a la despigmentación del estroma del Iris como secuela del efecto tóxico del veneno de la picadura. En nuestra serie solo 8 casos tuvieron “atro a”, mostrándose como despigmentación del estroma anterior, con midriasis paralítica y con alteración permanente de la función pupilar. En 13 casos ocurrió la despigmentación del estroma anterior, sin transiluminación del Iris, sin deformación de la pupila, ni compromiso de la función pupilar, y en 4 casos, no se produjo despigmentación ni alteraciones pupilares.
Pongo a consideración que este hallazgo debería denominarse “Despigmentación del Iris” o “Iritis tóxica” y aun Heterocromia, pero no cali carlo como “atro a” si la función de la pupila está conservada.
Tratamiento
Lo mas importante es acudir inmediatamente a un centro médico e idealmente ser evaluado por un oftalmólogo.
El Aguijón debe ser retirado lo mas pronto posible teniendo en cuenta el grado de di cultad para su extracción según su localización y el grado de penetración, y actuar consecuentemente3-5,9,11.
Iniciar el tratamiento ocular antin amatorio con dosis elevadas de corticoides locales y sistémicos si es del caso, ciclopléjia, e hipotensores oculares; al início, la administración de antibióticos es prudente ante la posibilidad de una infección sobre añadida. También se puede intervenir quirúrgicamente en forma temprana (caso No17) para realizar irrigación y lavado de la cámara anterior13.
Tardíamente en los casos que lo requieran, el trasplante de córnea puede ser necesario para recuperar la transparencia corneal y en algunos, puede hacerse solo un trasplante endotelial como ya se ha publicado9.
En el archivo fotográ co del Instituto Barraquer de América, encontramos 26 casos de pacientes con diagnóstico de Picadura de Avispa o de Abeja, que consultaron a la Clínica Barraquer de América en Bogotá en un período extenso de 50 años ( 1970 al 2020); se revisaron las Historias Clínicas, comprobando que correspondían a pacientes provenientes de diferentes regiones del país, con diferencias de edad, género, profesión, compromiso y evolución.
No fue posible la clasi cación entomológica del agente agresor, por no existir un Colombia un catálogo que combine el nombre popular en la región, con el nombre real en la clasi cación. Reportamos los nombres que relataron los pacientes, sin tener certeza absoluta sobre el agente agresor, como fueron: “ Boca pa bajo” ,“ Panelera” , “Cachicama”, “Vaquera” y “Lame Ojo” todos en referencia a Avispas; solo 9 casos como de “abeja Africana”, abeja “Chivata”, abeja “Abiojo”, abeja “Cintura amarilla”.
Presentamos aquí los 26 casos en una tabla ( Tabla No2). y a modo explicativo, un resumen de 9 casos con las fotos a su ingreso y resultado nal, para demostrar los diferentes grados de respuesta a la picadura, la magnitud del daño que puede ocurrir, y la evolución que tuvieron.
Síntesis de la Tabla No2
En los 26 casos la picadura fue en el Segmento Anterior: 25 en la córnea y 1 caso en el Limbo corneo-escleral.
Todos los casos habían recibido algún tipo de tratamiento y a la mayoría les habían retirado el aguijón antes de acudir a nuestro cuidado; solo 4 casos tenían el aguijón in Situ.
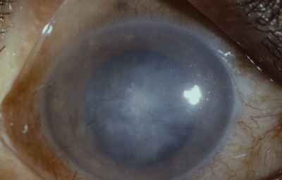
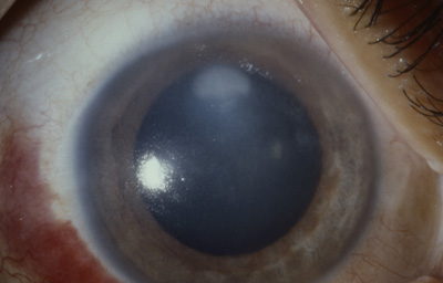
Entre los 25 casos corneales, en 13 la lesión comprometía todo el espesor, tenían descompensación corneal con severo edema, uveitis anterior tóxica y gran compromiso de la visión. Los otros 12 casos, tenían edema localizado alrededor de un leucoma de tamaño variable, o bien la córnea era trasparente con un leucoma puntiforme.
13/25 casos tenían opacidad de la cápsula anterior y/o catarata desde la primera consulta
21/25 casos CON despigmentacion del Iris, de los cuales en 13/21 SIN alteración de la función pupilar.
Los 8 casos restantes, 3 tenían discoria y pobre respuesta a la luz y 5 tenían Hipertensión y midriasis paralítica
4/25 casos SIN despigmentación del Iris y SIN alteración de la función pupilar.
El caso de picadura en el Limbo, (caso No17) tuvo leve despigmentación periférica inferior en el Iris, SIN compromiso de la función pupilar y la transparencia de la córnea en la periferia inferior quedo comprometida.
La agudeza visual de los 14 casos que pudieron ser tratados, fué alentadora durante el periodo que fueron controlados: ( casos del 13 al 26 en la Tabla No 2)
| AV sin corrección inicial: | AV con corrección nal |
| 7% : PL y PL (1 caso) | 7% : PL y PL (1 casos) |
| 38%: 0.10 a 0.40 ( 4 casos) | 14%: 0.10 a 0.40 (2 casos) |
| 28% : 0.67 a 1.00 (5 casos) | 72% : 0.67 a 1.00 (10 casos) |
Caso No17.
Paciente femenina de 16 años estudiante, quien 3 días antes sufrió picadura de “avispa panelera” en el Limbo del Ojo Izquierdo, en Yopal ( Casanare) le extrajeron el aguijón. Dolor.
Al examen: Edema en Párpado Superior Izq. Hiperhemia conjuntival marcada y generalizada, córnea con edema en la hemicórnea inferior, opacidades en cápsula anterior, Tono digital del globo ocular: medio; No se ve el fondo por opacidad de medios. AVsc: 0.10
Conducta: Se inició tratamiento con Atropina cada 12h, Decadrón 1cc = 8 mg subconjuntival, Binotal ( Ampicilina) 1 grm tb cada 8 /h, Ledercort x 4 mg ( Triamcinolona) 8 tb al día, Maxitrol ( colirio) 3 al día (Polimixina + Neomicina +Dexametasona) (Foto No1) Se procedió a debridar Limbo y Paracentesis a Cámara anterior con lavado de cámara anterior. El procedimiento se realizó a los 3 días de la consulta.
Fotos 1 - Picadura en el Limbo temporal
Postoperatorio con edema de córnea que fue cediendo progresivamente. - Polo posterior sin alteraciones.- Tensión Ocular 12 aplanático de Goldman
A los 5 meses: Refracción: AVsc 1.00 +0.50 esférico AVcc 1.00. Discreto engrosamiento corneal en creciente, inferior-temporal. - Despigmentación del Iris, pupila normoreactiva. Tensión ocular 12 aplanático de Goldman.
Último control a los 24 meses. Refracción: AVsc 1.00 +0.75 esférico AVcc 1.00. Subjetivamente Bien. - Creciente corneal inferior engrosado con mayor textura en la Descemet. (Foto No2)
Foto 2 - Ultimo control a los 24 meses
Caso No19.
Paciente masculino de 18 años, estudiante a quien ( 10) dias antes , picadura de “avispa negra” en el Ojo Derecho en Sasaima, tratado con antibióticos y antiin amatorios corticoides, y Midriacyl 3 al día. Al examen: Edema corneal, Nubécula superior a las 12, PK ́s en Endotelio, Tono digital aumentado, Iris con atro as estromales, pupila en midriasis. AVsc. 0.33 , TO: 20 - Ojo Izquierdo sin alteraciones, (Foto No 3)
Foto 3 - Picadura en su estado inicial
Se inicia tratamíento con una inyección subconjuntival de Decadrón semanal (5 inyecciones) , Tobrex ( colirio) cada 2 horas, Pred F ( Prednisolona 1%)cada hora, Timolol 0.5 cada 12 horas y Atropina ( colirio) cada 8 horas; se hace Endoteliografía comparativa entre Ambos ojos. (Fotos No 4-5)
Foto 4 - Endotelio del OD afectado
Foto 5 Endotelio del OI
El tratamiento es mantenido sin cambios durante el primer mes con controles periódicos cada 6 días. En el segundo mes, la córnea es trasparente con leucoma superior, Tono ocular digital blando; se reduce la medicación manteniendo el Pred F cada 2 horas, Timolol cada 12 horas y Tobrex 2 gotas al día.
Al tercer mes córnea trasparente con despigmentación del estroma iridiano, No hay transiluminación en el Iris. TO: 13 aplanático de Goldman, se inicia catarata subcapsular anterior.
Refracción: OD: +0.50 esférico AVcc 0.67 y en el OI: +0.50 esférico AVcc 1.00.
Se rebaja medicación a Pred F 2 al día y Tobrex 2 al día
A los 6 meses se realiza angiografía del Iris que muestra en las fases tardías la existencia de exudación en el estroma superior, pupila de 3.0mm normoreactiva (Foto No 6 y 7), y se formula Pred F nuevamente cada 2 horas durante 1 mes con reducción progresiva hasta el siguiente control.
A los 18 meses se realiza una segunda angiografía del Iris,(Foto No 8 ) mostrando ausencia de exudación; la córnea es trasparente con leucoma tenue superior, despigmentación del estroma iridiano en 360o con pupila de 3.0mm normoreactiva (Foto No 9), opacidad subcapsular anterior en el cristalino y Refracción: Plano ( -1.25 x 180a) 0.80. Se sugiere mantener Pred F 1 gota cada 5 días.
Foto 6 Angiografìa a los 6 meses con Exudación en el Iris
Foto 7 Foto del OD a los 6 meses
mostrando edema a las 12 y despigmentación del Iris en 360o
Foto 8 A los 18 meses, Angiografía sin exudación, solo despigmentacióno
Foto 9 Foto a los 18 meses post tratamiento
Ultimo control a los 28 meses del accidente, con ojo OD tranquilo TO: 10, córnea trasparente con leucoma superior residual, despigmentación del Iris en 300o con pupila normoreactiva y opacidad anterior en el cristalino. Agudeza Visual mejor corregida 0.80
Caso No 6.
Paciente agricultor de Guaduas 41 años Diabético, quien 2 meses antes de la consulta sufrió picadura de abeja llamada “ Abiojo” en el Ojo Derecho. Recibio tratamiento a partir del 4o día con Atropina 3 al día Decadron IM 1 al día, Flucon cada 4 horas
Al examen: Edema corneal con pliegues profundos, areas desepitelizadas y bullas, Endotelitis. Neovascularización corneal temporal inferior; Iris marrón blanquecino por pérdida marcada de pigmento, pupila de 5.0mm, opacidad en cápsula anterior. Tension Ocular digital media (Foto No 10).
Foto 10 - Foto inicial con bullas y neovascularización
Refracción: No Rx que ayude AVcc: CD
Conducta: Decadron s/c cada 10 días( 6 amp), NaCl 3 al dia,, Maxidex 3 al dia, Atropina 1 al dia con controles cada 10 dias- Mas adelante Queratoplastia Penetrante.
Ultimo control a los 6 meses: Descompensación corneal, con reducción del area de leucoma; panus fantasma, despìgmentación del Iris, mantener Cetapred 2 al día y NaCl 3 al día- (Foto No 11) NO REGRESÓ
Foto 11 - Ojo mas tranquilo con descompensación corneal
Caso No10.
Paciente masculino quien realiza o cios varios, 32 años ( Tolima - Puerto Lopez) . Hace 2 meses picadura de avispa Cachicama en el OD - El aguijón fue extraído. Fue tratado con Maxidex durante 20 días
Refracción mani esta: OD: AVsc: CD AVcc: CD OI: AVsc: 0.25 No rx que ayude AVcc: 0.25
Al examen: OD Edema corneal con Queratopatía bullosa, “Atro a del Iris”, Opacidad subcapsular anterior;. Tensión ocular digital media. Secuelas tóxicas de picadura (Foto No12)
Foto 12 - Foto con edema total de la córnea, despigmentación del Iris y opacidad subcapsular anterior
En el OI: Antecedente de trauma craneoencefálico 20 años antes, con la rama de un arbol. Córnea con nubéculas múltiples puntiformes; Catarata subcapsular anterior y posterior en roseta. Tensión ocular 12, Recesión angular, polo posterior bien.
Se programa para Queratoplastia penetrante OD y Aspiración de catarata en el Ojo Izquierdo.- NO REGRESÓ
Caso No20.
Hombre de profesión independiente de 39 años (Barracabermeja) consulta porque 1 mes antes, picadura de “avispa grande-pati-amarilla” en el Ojo Izquierdo; le extrajeron la ponzoña en Bucaramanga.
En tratamiento con Sol Salina cada hora, Maxidex 6 al día, Timolol 0.5 2 al día, Glaucoral 1 cada 12 horas.
Refracción:
OD +0.50 Esf AVcc 1.00
OI: AVsc: 0.50 +0.50 Esf AVcc 0.50
Al examen: - Ojo Izquierdo: Pterigion nasal grado 2, Trayecto leucomatoso cilíndrico para-central vertical a la 1, blanco brillante; en su tercio super cial, existen algunos pliegues verticales profundos.- Iris con pupila redonda de 4.0mm. cámara media, Iris sin despigmentación, Tensión ocular: 14 aplanatico de Goldman Cristalino trasparente.
Espesor corneal OD 590 y OI 630 micras . Fondo sin alteraciones. (Foto No13)
Foto 13 - Picadura a la 1en OI - Trayecto vertical de edema para-central.
Endotelio OD :2.300 cel/mm2 con leve pleomor smo y polimegatismo - Endotelio OI: 400 cel/mm2. con pleomor smo y polimegatismo (Fotos No14 y 15)
1- Bold Texto
Foto 14- Endotelio en el OD con 2.300cl/mm2
Foto 15 -Endotelio en el OI con 400cl/mm2>.
Angiografía de Iris OI: Se observa exudación en Iris (Foto No 16)
Se continua el tratamiento con: Maxidex 3 al día y Timoptol 2 al día.- Se continuan controles mensuales (Foto No17)
Foto 16 - Angiografía del Iris se ve exudación
Foto17 - Foto que corresponde con la Angiografía
7 meses después: Franca mejoría- Endotelio 800 cel / mm2. - TO: 14 aplanático de Goldman. Se observa despigmentación del Iris.
Refracción OI: AVsc: 0.80 +0.75 Esf AVcc: 0.80+ (Foto No 18)
Visto por última vez 5 años después:
Refracción: OI: AVsc 1.00 +0.25 AVcc 1.00 TO:17. Nubécula corneal superior temporal , Finas atro as en el Iris ciliar superior, cristalinos trasparentes y fondo sin alteraciones.
Foto17 - Foto que corresponde con la Angiografía
Caso No18.
Paciente masculino de 34 años, agricultor; 20 meses antes de la consulta sufrió picadura en el Ojo Derecho de avispa amarilla “la llaman vaquera” en Saravena. Operado con ltrante a los 4 meses.- Se aplica Optimol
Refracción: AV: PL y PL ( Discrimina rojo y verde) Rx no ayuda por Opacidad
Al examen OD Leucoma denso central con grandes bullas y vaso estromal profundo que penetra a las 6; notable engrosamiento corneal, ( Fistula interna en córnea?) y no panus vascular periférico, midriasis paralítica, goniosinequia en 360o ?.- catarata intumescente, cicatriz quirúrgica superior, Tono digital medio (Foto No 19)
Foto 19 - Leucoma denso con bullas y vaso estromal profundo a las 6
Conducta: Se realiza Queratoplastia penetrante 8.2 mm + Sinequiotomía angular con Viscoelástico + Extracapsular +LIO en OD. En el postoperatorio, injerto trasparente con hipertensión ocular controlada con medicación, gran excavación del Nervio Optico
A los 151 dias de postoperatorio, se aprecia edema del injerto.- Se inició tratamiento; a los 9 meses de postoperatorio se retiraron las suturas, manteniendo el tto antihipertensivo.- EL PACIENTE NO REGRESO
Caso No23.
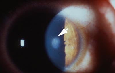
Agricultor de 16 años (Lejanías - Meta).- 8 días antes de la consulta recibió picadura de abeja “Cintura Amarilla” en le Ojo Izquierdo. Consulta para que le extraigan el aguijón.
Refracción Mani esta
OD: AVsc 1.00 +0.25 ESF AVcc 1.00
OI: AVsc 0.60 +0.25 (-1.00 x 180o) AVcc: 1.00
Al examen: En el Ojo Izquierdo, leucoma puntiforme de entrada a las 6 debajo del reborde pupilar, con 2/3 del aguijón en cámara anterior, ocasionales puntos blancos sobre él. No hay Tindall ni reacción ciliar. No dolor (Fotos 20 y 21 L.Goldman) Iris con pupila redonda de 3.0mm buen re ejo a la luz, sin despigmentación. Cristalino trasparente .- Tensión Ocular : 12 aplanático de Goldman Fondo: Sin alteraciones.- Se programa para extracción del aguijón. El paciente regresó 1 mes después; al examen se hace evidente que el aguijón se movió: con lente de gonioscopía se observa que el Aguijón migró a la cámara anterior y tomó posición oblicua en el ángulo a las 7.(Foto No 22)
Foto 20 - Leucoma puntiforme debajo del reborde pupilar con aguijón
Foto 21- Aguijon 2/3 en cámara anterior
Foto 22 - 1 mes después, aguijón en el ángulo
Se extrajo el aguijón bajo anestesia general teniendo la pupila en miosis; con prisma de gonioscopía se localiza el aguijón a las 6:30 en el ángulo y se extrae haciendo incisión conjuntival por desinserción conjuntival limbar inferior de 4 a 8 , paracentesis con aguja de Bowman a cámara anterior a las 11; Delimitación de la incisión escleral con forma arciforme a 1.5 mm del limbo y de 6 mm de cuerda con cauterio; incisión escleral a todo espesor, se levanta el colgajo esclerocorneal y se separa el reborde escleral con espátula plana, y con pinza de Von Mandach se extrae el aguijón. Se cierra con 2 puntos esclerales con Nylon 10-0 , nudos sobre esclera distal al Limbo. Burbuja de aire en cámara anterior a través de la paracentesis y cierre conjuntival con 2 puntos de Nylon 10-0 en los extremos de la desinserción. - Garamicina y Decadrón intraTenonianos. (Foto No23 - aguijón Foto 24 diagrama)
Foto 23 - Aguijon aserrado que fué extraído
Foto 24 - Diagrama de la técnica quirúrgica
Postoperatorio con Maxitrol ( Neomicina, Polimixina y Dexametasona) 3 al dia durante 10 días.
Control 10 días: córnea trasparente con leucoma puntiforme, cámara media , pupila negra central y redonda, Iris con parches hipopigmentados en periferia inferior. Cristalino trasparente.
Refracción: OI: AVsc: 1.00 PLANO AVcc 1.00
Ultimo control a los 2.5 meses: Ojo tranquilo, córnea trasparente con leucoma puntiforme.-Tensión ocular 15 aplanático de Goldman. Iris con despigmentación en parches en periferia inferior, se da el alta. (Foto No25)
Foto 25 - Foto 2.5 meses después
Caso No21.
Paciente 25 años, estudiante ( Barranquilla); Desea control ya que hace 15 años picadura de abeja “africana”en el Ojo Izquierdo.
Refracción Mani esta:
OD: -0.50(-1.00 x 90o) AVcc:1.00
OI: -0.25 (-0.75 x 45o) AVcc: 1.00
Al examen: Nubécula adelgazada “con aguijón desnaturalizado en córnea”; córnea sin edema con buena trasparencia y cámara anterior media. Iris con pupila negra, central y redonda con sinequia anterior de hoja anterior del Iris de 5 a 8 en periferia e Iridoschisis, sin pérdida de pigmento en el Iris . Cristalino trasparente, polo posterior bien. TO: 17 en ambos ojos aplanático de Goldman. (Fotos 26 y 27)
Se entrega nueva fórmula de anteojos.
Foto 26 - Leucoma a las 2 con agujón “in situ
Foto 27 - Aguijón desnaturalizado
Caso No22.
aciente masculino de 5 años de edad ( Manizales) quien 4.5 meses antes, sufrió picadura por abeja “ africana” en el ojo Izquierdo; fue operado realizando Iridectomía inferior en Manizales. y esta en tratamiento con Maxitrol, Atropina,Flumex, Vitamina C y Glaucoral; desea concepto
Refracción Mani esta:
OD: PLANO AVsc : 1.00
OI: No Rx que ayude
Al examen: Ojo izquierdo con edema difuso de la córnea, bullas epiteliales centrales y cicatriz vertical. Iris con sector inferior, estroma con zonas de “atro a”, Cristalino con opacidad capsular anterior. Tensión ocular digital media; OD Sin alteraciones.- ( Foto No28)
Foto 28 - Foto inicial con edema e iridectomía inferior en sector
Se recomendo Queratoplastia Penetrante de 8.0/ 8.2 mm en el Ojo Izquierdo, que se realizó a los 8 meses del incidente sin complicaciones. Tratamiento postoperatorio con Sherisolona 10mg/dia VO, PredF 3 al dia y Isopto-fenicol 3 al día. Postoperatorio curso sin complicaciones con injerto trasparente, tensión ocular adecuada. A los 6 meses de postoperatorio (190 días) se retiraron suturas bajo anestesia general.- (Foto No29) Refracción: +2.0 (-2.0 x 70o) AVcc Cuenta Dedos
Foto 29 - Foto de la Queratoplastia a los 190 dias
Injerto trasparente, se remitió a Estrabología para tratamiento de ambliopía y se inicio pleóptica pasiva con oclusión del OD
A los 2 años de la picadura: Refracción -0.50 (-1,50 x 60o) AVcc 0.25.- Fijación parafoveal.
Se continuó la Oclusión del OD por varias horas al día.- Se continuaron controles 1 vez al año. Se le recomiendo cirugía de estrabismo pero el paciente no regresó.
Fue examinada por última vez 10 años después de la picadura porque desde hacía 1 mes, disminución de visión y picadas en OI.- Al examen descompensación del injerto con bullas epiteliales: se inició tratamiento y preparación para cambio de Injerto en el Ojo izquierdo que logró realizarse sin complicaciones.- El injerto permaneció transparente por 6 meses cuando consultó por disminución de la visión. Al examen edema total del Injerto: se inició tratamiento pero el paciente NO REGRESO
BIBLIOGRAFÍA
1 - VMTibatá, E Arias, M Corona, F Ariza Botero, J Figueroa-Ramírez : Journal of Apicultural Research 2018, 57 (2), 219-227
2 - E.Habermann, Bee and Wasp Venoms: Science, New Series, Vol. 177, No. 4046 (Jul. 28, 1972), pp. 314-322
3 - Rouatbi A.,Chebbi A., Bouguila H.: Hymenoptera insect stings: Ocular manifestations and management Journal français d’ophtalmologie (2019) 42, 37—43 https://doi.org/10.1016/j.jfo.2018.04.014
4 - Enyr Saran Arcieri, M.D., Edimar Tiago Franca, M.D., et al: Ocular Lesions Arising After Stings by Hymenopteran Insects. Cornea 2002, 21(3): 328–330.
5 - K S Siddharthan, Anita Raghavan, and R Revathi: Clinical features and management of ocular lesions after stings by hymenopteran insects. Indian J Ophthalmol. 2014 Feb; 62(2): 248–251. doi: 10.4103/0301-4738.128637
6 - S.K.Ghosh, D. Chattopadhyay’, A.C .Senz and B. Chakrabarti2; Melittin-induced con formational changes in human lens protein. Current Eye Research Volume 10 number 11 1991, 1065-1068
7 - Michael Carl Chen, Veniamin Melnychuk: Corneal bee sting: improvement in the acute stage in the absence of treatment. Pan African Medical Journal ( PAMJ); 2020; 37(54). 10.11604/pamj.2020.37.54.20267
8 - Masih Ahmed . Chang Sup Lee . et al Predicting visual function after an ocular bee sting, Int Ophthalmol 2018 https://doi.org/10.1007/s10792-018-0978-z
9 - Olivo-Payne A , Chong E; Bee sting to the cornea: toxic e ects and management. The medical Journal of Australia (MJA) Volume209, Issue4 August 2018 Pages 155-155 doi: 10.5694/mja17.01202
10 - Caça I, Ari S, Ulü K, Ayata A. Bee sting of the cornea: a case study and review of the literature. Ann Ophthalmol (Skokie). 2006 Spring;38(1):77-9. doi: 10.1385/ao:38:1:77. PMID: 17200591
11 - Gilboa M, Gdal-On M, Zonis S. Bee and wasp stings of the eye: retained intralenticular wasp sting: a case report Br J Ophthalmol 1977;61:662–4.
12- N Pal, RV Azad, YR Sharma, DV Singh and MD Davda; Bee sting-induced ciliochoroidal detachment; Eye (2005) 19, 1025–1026. doi:10.1038/sj.eye.6701720
13 - Vélez M, Mannis MJ, Ortega JG, Tobón CA. Corneal hymenoptera stings: A new therapeutic approach. Vis Pan-Am. 2012;11(4):117–19.
14 -Mohit Dogra, Subina Narang, Sunandan Sood, and Panchmi Gupta: Successful management of bee sting induced Aspergillus fumigatus endophthalmitis and scleritis. Indian J Ophthalmol (IJO). 2018 Mar; 66(3): 461–463. doi: 10.4103/ ijo.IJO_889_17: 10.4103/ijo.IJO_889_17
15 - Choi MY, Cho SH. Optic neuritis after bee sting. Korean J Ophthalmol. 2000;14:49–52. - PubMed
16 - Berríos RR, Serrano LA; Bilateral optic neuritis after a bee sting, Am J Ophthalmol. 1994;117:677–78. - PubMed
17 - Ghosh SK, Chattopadhyay D, Sen AC, Chakrabarti B. Melitin-induced conformational changes in human lens protein Curr Eye Res. 1991;10:1065–68. - PubMed
18 - Muralidhar Ramappa, Roheet Dhakal, and Sunita Chaurasia; Oval sign: A retained bee stinger, Indian J Ophthalmol. 2018 Oct; 66(10): 1466–1467. doi: 10.4103/ijo.IJO_465_18: 10.4103/ijo.IJO_465_18
